닥터호의 교정이야기: 교정치료 왜 아픈가? 덜 아픈 교정치료가 있을까?
교정전문의 김원호
2023-06-29
조회수 2704
1167
20
김명희2023-08-25 17:39
58세의 여성입니다. 뒤늦게 교정을 시작하였는데, 열흘이 지났는데 아직도 조금 아프네요 ㅠㅠ
지금이라도 약력교정 방식을 병원에 요청하면 되나요? 아니면 처음부터 다시 해야 하나요?
지금이라도 약력교정 방식을 병원에 요청하면 되나요? 아니면 처음부터 다시 해야 하나요?
교정전문의 김원호2023-08-28 11:16
안녕하십니까, 교정과 전문의 김원호 입니다.
교정 치료중의 통증 때문에 아마 고민이 많으실 것이라 생각합니다.
교정치료 중의 통증에 대한 적응도는 성장기 아동에 비해 성인에서 통증에 대한 적응도가 조금 낮은 경향이 있습니다.
따라서, 통증이 좀 더 오래 가는 것은 크게 이상이 있는 현상은 아닙니다.
10일이 지나도 아직 불편감이 있으신 것 같다면, 다음 내원하셨을 때 치과에 통증 양상에 대해 구체적으로 말씀을 드리면 원장님이 통증의 양상을 고려하여 교정치료를 해주실 것이라 생각됩니다.
최근에는 50대 이상의 중장년 환자분들도 교정치료를 많이 받는 추세입니다.
남은 기간동안 교정치료를 잘 마치시고, 아름다운 미소를 얻으실 수 있으셨으면 좋겠습니다.
추가적인 문의사항 있으시면 문의 부탁드립니다.
교정 치료중의 통증 때문에 아마 고민이 많으실 것이라 생각합니다.
교정치료 중의 통증에 대한 적응도는 성장기 아동에 비해 성인에서 통증에 대한 적응도가 조금 낮은 경향이 있습니다.
따라서, 통증이 좀 더 오래 가는 것은 크게 이상이 있는 현상은 아닙니다.
10일이 지나도 아직 불편감이 있으신 것 같다면, 다음 내원하셨을 때 치과에 통증 양상에 대해 구체적으로 말씀을 드리면 원장님이 통증의 양상을 고려하여 교정치료를 해주실 것이라 생각됩니다.
최근에는 50대 이상의 중장년 환자분들도 교정치료를 많이 받는 추세입니다.
남은 기간동안 교정치료를 잘 마치시고, 아름다운 미소를 얻으실 수 있으셨으면 좋겠습니다.
추가적인 문의사항 있으시면 문의 부탁드립니다.
장윤정2023-08-28 11:52
자세히 꼼꼼하게 남겨주신 설명 덕분에 큰 도움이 됩니다. 앞으로 약력 교정으로 더 많은 환자들이 적은 통증으로 많이 예뻐지면 좋겠습니다.
김정윤2023-08-31 22:08
교정 고민중인데 혈우병을 가지고 있습니다 괜찮을까요?
교정전문의 김원호2023-09-01 14:08
안녕하세요, 교정전문의 닥터호 김원호 입니다.
혈우병이 있으셔도, 교정치료가 가능합니다.
큰 걱정 하지 않으셔도 됩니다. 감사합니다.
혈우병이 있으셔도, 교정치료가 가능합니다.
큰 걱정 하지 않으셔도 됩니다. 감사합니다.
장준희2023-08-31 22:12
약력교정을 하면 최장 몇년까지 바라보아야 할까요? 선뜻 너무 오래 걸리면 겁이 납니다
교정전문의 김원호2023-09-01 14:09
안녕하세요, 교정전문의 닥터호 김원호 입니다.
앞니 부분교정의 경우 보통 3개월에서 1년 정도 소요가 됩니다.
위아래 전체교정이 필요한 경우는 2년 정도 소요가 됩니다.
감사합니다.
앞니 부분교정의 경우 보통 3개월에서 1년 정도 소요가 됩니다.
위아래 전체교정이 필요한 경우는 2년 정도 소요가 됩니다.
감사합니다.
지천우2023-08-31 22:14
약력교정이 덜 아프다면 같은 병원이 아닌 여러 병원을 거쳐도 같은 결과가 나올 수 있을까요?
교정전문의 김원호2023-09-01 14:10
안녕하세요 교정전문의 닥터호 김원호입니다.
교정치료는 의사 개개인의 노하우에 따라 교정치료 결과가 약간씩 달라지는 경우도 있으며, 보통 교정과 전문의에게 치료를 받으시는 경우 만족스러운 결과를 얻으실 수 있습니다.
보통 교정치료는 병원 한군데에서 쭉 치료받으시는 것이 가장 좋습니다.
교정치료는 의사 개개인의 노하우에 따라 교정치료 결과가 약간씩 달라지는 경우도 있으며, 보통 교정과 전문의에게 치료를 받으시는 경우 만족스러운 결과를 얻으실 수 있습니다.
보통 교정치료는 병원 한군데에서 쭉 치료받으시는 것이 가장 좋습니다.
윤하연2023-09-01 09:12
치아 교정을 고려하고 있는데, 이빨에 무리가 가지 않을지 걱정됩니다. 치아 교정의 장단점과 교정 후의 이빨 관리 방법, 교정기간 동안의 불편함에 대해 알고 싶습니다. 또한 다양한 교정 방법과 그 효과에 대한 정보도 부탁드립니다.
교정전문의 김원호2023-09-01 14:05
안녕하세요, 교정전문의 닥터호 김원호 입니다.
교정의 장점이라고 하면, 치열의 개선, 안모의 개선, 기능의 개선이 있을 것 같습니다.
치열 뿐 아니라, 옆모습, 앞모습이 예뻐지고, 어금니도 식사를 좀더 잘 할 수 있게 됩니다.
단점이라면, 교정 후에 유지장치를 앞니 안쪽에 붙이고 지내야 한다는 단점이 있으나, 큰 불편감은 없습니다.
교정장치는 정말 종류가 다양한데, 브라켓, 미니튜브, 투명교정 등 다양한 장치가 있으며, 장치별로 장단점이 다릅니다.
보통 한달에 한번 내원하시면, 2년정도의 기간동안 교정이 안전하게 진행됩니다.
추가적인 궁금증 있으시면, 댓글로 남겨주세요:)
교정의 장점이라고 하면, 치열의 개선, 안모의 개선, 기능의 개선이 있을 것 같습니다.
치열 뿐 아니라, 옆모습, 앞모습이 예뻐지고, 어금니도 식사를 좀더 잘 할 수 있게 됩니다.
단점이라면, 교정 후에 유지장치를 앞니 안쪽에 붙이고 지내야 한다는 단점이 있으나, 큰 불편감은 없습니다.
교정장치는 정말 종류가 다양한데, 브라켓, 미니튜브, 투명교정 등 다양한 장치가 있으며, 장치별로 장단점이 다릅니다.
보통 한달에 한번 내원하시면, 2년정도의 기간동안 교정이 안전하게 진행됩니다.
추가적인 궁금증 있으시면, 댓글로 남겨주세요:)
윤혜서2023-09-01 13:21
치아교정중에 통증을 조금이라도 줄이는 방법이 있을까요?
교정전문의 김원호2023-09-01 14:01
안녕하세요, 교정전문의 닥터호 김원호입니다.
통증이 일주일 이상 지속된다고 느껴지시면 교정 치과의사분께 말씀드리면, 힘을 좀더 적당하게 조절해주실 것입니다. 만약 통증이 못견딜 정도라면, 타이레놀을 단기간 복용하시는 것이 도움이 되며, 너무 차거나 뜨겁거나 단단한 음식은 피하시는 것이 좋습니다.
통증이 일주일 이상 지속된다고 느껴지시면 교정 치과의사분께 말씀드리면, 힘을 좀더 적당하게 조절해주실 것입니다. 만약 통증이 못견딜 정도라면, 타이레놀을 단기간 복용하시는 것이 도움이 되며, 너무 차거나 뜨겁거나 단단한 음식은 피하시는 것이 좋습니다.
변홍기2023-09-01 17:23
악력교정하면 팔자주름이나 이런개 좀 덜한가요? 교정하면 교정기 때문인지 입이 나와다가 제거하면 주름이 심해지는 것 같더라구요
교정전문의 김원호2023-09-06 14:04
안녕하세요 교정전문의 닥터호 김원호입니다.
교정치료 중 얼굴 살이 많이 빠지거나, 또는 과도하게 입술이 후방견인 된 경우에 주름이 생기는 경우가 있습니다. 그리고, 교정 중에도 실제로 2-3년간 세월이 흐르기 때문에 교정과 별개로 주름이 생기는 경우가 있습니다.
정확한 진단을 통해 치료를 진행하면, 주름에 대해서는 걱정하지않으셔도 됩니다.
감사합니다.
교정치료 중 얼굴 살이 많이 빠지거나, 또는 과도하게 입술이 후방견인 된 경우에 주름이 생기는 경우가 있습니다. 그리고, 교정 중에도 실제로 2-3년간 세월이 흐르기 때문에 교정과 별개로 주름이 생기는 경우가 있습니다.
정확한 진단을 통해 치료를 진행하면, 주름에 대해서는 걱정하지않으셔도 됩니다.
감사합니다.
윤지원2023-09-01 17:24
앞니 옆쪽의 치아가 크게 틀어져서 웃을 때 컴플렉스인데요 혹시 그 치아만 부분 교정이 가능할까요?
교정전문의 김원호2023-09-06 14:05
안녕하세요 교정전문의 닥터호 김원호입니다.
심하지 않은 경우 부분교정으로도 가능합니다.
정확한 진단을 통해 부분교정이 가능한지 판단할 수 있습니다.
심하지 않은 경우 부분교정으로도 가능합니다.
정확한 진단을 통해 부분교정이 가능한지 판단할 수 있습니다.
환자분들이 교정치료를 망설이게 되는 이유는 무엇일까요?
중요한 이유 중 하나는, 교정치료의 통증입니다.
저는 몇 년 전에 라식 수술을 받았습니다.
라식 수술을 고민하던 와중에 라식 수술에 대해 가장 궁금했던 점은 라식수술의 효과가 아닌, 라식수술 후의 통증이었습니다. 라식 수술을 받기 전에 가장 먼저 인터넷으로 검색해서 찾아본 것은, 라식수술 후 통증 여부에 대한 내용이었습니다.제가 라식수술로 인한 통증에 대해 궁금증을 가졌던 이유는, 라식 수술을 받기 이전에는 시력이 나쁘긴 했지만 전혀 통증이 없이 생활을 하고 있었기 때문입니다. 혹시나 라식수술로 인해서 통증이나 다른 부작용이 생기게 되는지 궁금했던 것 같습니다.
교정 치료도 마찬가지라고 생각합니다.
보통 교정 치료를 받기 전에는 어떤 통증도 없고 편안한 상태로 생활을 하고 있었기 때문에 교정 치료로 인해서 혹시 통증이 발생하는지, 또는 다른 부작용이 있는지가 환자분들 입장에서는 가장 궁금한 점이 아닌가 싶습니다. 실제로도 환자분들께서는 교정치료로 인해 통증이 발생하는지 많이 궁금해하십니다. 그 때마다 저희가 환자분들께 말씀드리는 내용은 ‘보통 교정장치를 조정하고 나서 2~ 3일간 통증이 지속되다가 사라진다’고 말씀드립니다.
하지만 환자분에 따라서는 일주일 이상의 통증을 겪으시는 분들도 계십니다. 이러한 통증과 불편감의 원인은 무엇일까요? 바로 치아에 가해지는 힘이 필요이상으로 과한 경우에 교정으로 인한 통증이 발생하게 됩니다.
그렇다면 왜 치과의사들이 교정력을 과하게 사용할 수 밖에 없었을까요?
그 이유는 이전에는 교정장치가 충분히 개발이 되지 못해서 가벼운 힘을 쉽게 사용할 수 있는 교정장치가 부재했기 때문입니다.
기존 교정 장치들이 가벼운 힘을 가하기에 적합하지 않은 특성을 지니고 있었습니다. 따라서 교정과 의사들은 가벼운 힘이 환자와 치아 건강에 좋다는 것을 알고 있었지만, 장비와 장치에 한계로 인해서 약력교정을 제대로 구현할 수 없었던 것입니다.
이처럼, 강한 교정력 대신 가벼운 교정력을 사용하는 것을 약력교정이라고 합니다. 약력 교정치료는 적은 통증이라는 장점 이외에도 몇 가지 장점을 가지고 있습니다. 이번 칼럼에서는 약력 교정이 무엇인지 알아보고, 약력교정의 장점들에 대해서 알아보겠습니다. 또한 약력교정을 어떤 교정 치료에 적용할 수 있는지 알아보도록 하겠습니다.
약력교정이란?
약력교정(Light-Force Orthodontics)이란 치아이동에 꼭 필요한 가벼운 세기의 힘을 사용하는 교정치료를 의미합니다. 치아 이동에 필요한 이상적인 힘을 사용하고, 그 보다 센 힘의 사용을 지양하는 것이 약력 교정치료의 철학입니다. 약력교정에 적합한 교정력은 치아 이동을 위한 최적의 힘의 세기입니다. 무조건 가벼운 힘 만을 사용하는 것이 약력교정이 아니라, 치아 이동에 최적의 힘을 사용하는 것이 약력 교정입니다.
치아 이동의 유형마다 최적의 교정력 범위가 정해져 있으며, 해당하는 힘의 세기를 사용해야 합니다. 그래야 치아 이동이 효율적으로 발생하게 됩니다. 그러나, 현재 대부분의 교정 재료와 교정장치들이 약력교정에 적합하지 않은 경우가 많기 때문에, 약력교정을 위해서는 치과의사의 특별한 노력과 적합한 장치의 사용이 필요합니다.
약력교정의 장점
약력교정의 장점에는 크게 세 가지가 있습니다.
먼저 적은 통증으로 교정치료를 받을 수 있습니다. 또한, 치아 이동이 지연 없이 효율적으로 발생하게 됩니다. 그리고, 교정치료의 가장 흔한 부작용인 치근흡수를 최소화 할 수 있습니다.
이처럼 약력교정은 최소한의 부작용과 최대의 교정효과를 발생시키게 됩니다. 보통 노인 교정치료의 치료 난이도가 높고 노인 환자 분들이 교정치료를 힘들어 하는 이유는, 잇몸이 약하고 통증에 민감하기 때문입니다. 그래서 특히 부작용에 취약한 노인 교정치료를 할 때에, 좀 더 안전하고 편안하게 교정치료를 가능하게 합니다.
1. 통증이 적다
교정을 하면 왜 아플까요?
대부분의 경우 그 이유는 과도한 힘 때문입니다. 과도한 교정력이 치아에 가해지게 되면 치아 주변에서 염증반응이 발생하게 됩니다. 그러면 통각과민(hyperalgesia)이 발생하게 되고, 통각에 예민해지게 되어서 치아가 아프게 됩니다.
교정치료로 인한 통증은 얼마나 아플까요?
보통 교정치료로 인한 통증은 장치를 조정하고 나서 2-3일 동안 발생하는 경우가 많습니다. 심한 경우에는 일주일 이상 통증이 지속 되기도 합니다. 간혹 수면 장애를 겪을 정도로 교정 통증으로 인해 괴로워하기도 합니다. 교정치료로 인한 통증이 발생하게 되면 삶의 질에 영향을 미치기 때문에 교정으로 인한 통증을 최소화 하는 것은 굉장히 중요합니다.
교정으로 인한 통증을 예방하기 위해서는 가벼운 힘(light force)을 사용하는 교정 치료를 하는 것이 좋습니다. 치아 이동의 유형마다 최적의 교정력 범위가 정해져 있으며 이 범위의 힘을 사용해야 합니다. 범위를 초과하는 힘은 통증을 발생시키게 됩니다. 따라서 최적의 교정력 범위 내의 가벼운 힘을 사용할 때 교정 통증을 예방하면서 교정 치료를 진행할 수 있게 됩니다.
약력교정 치료에서는 대부분 가는 철사를 사용하기 때문에 교정력의 세기를 최소화하여 통증을 최소화하고 교정 효과는 높이게 됩니다. 즉 통증은 적어지고 교정치료 속도는 빨라지는 장점이 있습니다.
그림1. 가느다란 철사를 사용하는 약력교정. 가벼운 힘을 사용하기 때문에 통증도 적고 장점이 많은 치료방법입니다. 안쪽 또는 바깥쪽으로 가는 철사를 사용해서 교정을 하게 됩니다.
2. 효율적인 치아이동
보통 치아교정을 시작하게 되면 치과에 한달에 한번씩 가서 교정 장치 조정을 받게 됩니다.
환자분들 중에서는 좀더 자주 내원 하면서 치아에 꾸준히 강한 힘을 가하면 치아 교정이 빨리 끝나는 게 아니냐고 여쭤보시는 분들이 많습니다. 하지만 실제로는 그렇지 않으며, 가벼운 힘을 한달간격으로 가하는 것이 좋습니다. 그 이유에 대해서 알아보도록 하겠습니다.
치아 이동은 치아가 이동하는 방향으로 뼈의 흡수와 생성이 반복되면서 치아가 이동하게 됩니다.
치아가 이동하고자 하는 곳에서는 뼈가 흡수가 되어야 하고 치아가 이동하고자 하는 곳의 반대편에서는 뼈가 생성이 되어야 치아 이동이 진행 됩니다. 따라서 치아 이동에는 어느정도 시간이 필요합니다. 치과에 자주 가면 교정이 빨리 끝나는 것이 아닙니다.
교정용 철사가 충분한 효과를 발휘하기 위해서는 한 달이라는 기간이 필요합니다.
오히려 자주 철사를 바꾸거나 조정을 하는 경우, 즉 강한 힘이 계속 가해지는 경우 ‘간접 골 흡수’라는 현상이 발생해서 교정치료가 지연됩니다.
치아에 가까운 잇몸뼈가 아니라 치아에서 뭔 잇몸뼈가 먼저 흡수되므로, 교정치료가 지연됩니다.
치아이동이 지연되어 교정력을 가한 후 7~14일이 되서야 치아 이동이 시작됩니다. 즉, 비효율적인 치아이동이 발생하게 됩니다.
강한 압박을 받은 치아 주변에서는 세포 괴사와 염증반응 및 통증까지 발생하기 때문에 여러모로 단점이 많습니다.
가벼운 힘으로 치아교정을 하는 경우에는 치아 이동 지연 없이 치아 이동이 효율적으로 진행이 됩니다.
치아에 가까운 잇몸뼈가 먼저 흡수가 되면서 치아 이동이 발생합니다.
교정력을 가한 후 2일째부터 치아 이동이 발생하게 됩니다. 즉, 효율적인 치아이동이 발생합니다.
그림 2. 가벼운 힘과 강한 힘의 비교. 교정치료시 가벼운 힘을 사용하는 것이 장점이 많습니다.
3. 치근흡수 예방
치아교정의 가장 대표적인 부작용으로 통증에 이어서 치근흡수가 있습니다.
치근흡수란 치아교정 치료 중에 치아 뿌리 끝부분이 녹는 것입니다. 간혹 치아교정 치료를 오래 받거나 또는 강한 힘으로 치아 교정을 받은 환자분들의 경우 교정이 끝난 후에 치아뿌리가 많이 짧아져 있는 것을 볼 수 있습니다.
이처럼 치아교정으로 인해 치근흡수가 발생하게 되는데, 이러한 치근 흡수를 최소화하는 방법 중에 하나는 강한 교정력 대신 가벼운 교정력을 사용하는 것입니다. 가벼운 교정력을 사용하게 되면 치아뿌리가 미세한 손상을 받았더라도 다시 회복할 수 있는 시간과 기회를 얻게 됩니다.
치아 뿌리가 미세한 손상 이후 다시 원상 복귀되는 것입니다. 하지만 강한 교정력을 사용하는 경우에는 치아뿌리가 손상을 받고 나서 회복이 되지 못하기 때문에 치아 뿌리 손상이 누적되어서 결과적으로 치근 흡수가 발생하게 됩니다.
교정치료가 끝나고 나서 치아 배열은 예뻐졌는데 치아뿌리가 짧아져서 치아 수명이 단축된다면 환자분의 마음이 굉장히 불편할 것입니다.
치근 흡수의 양이 2mm내외로 양이 적은 경우에는 치아의 예후에 큰 영향을 끼치는 않습니다.
하지만 치근흡수의 양이 많은 경우에는 치아의 예후에 악영향을 끼칠 수 있습니다.
따라서 치근흡수는 가능하면 최소화하면서 교정치료를 받는 것이 좋으며, 가벼운 힘을 사용하는 약력교정치료를 통해 치근흡수를 최소화 할 수 있습니다.
그림 3 가벼운 힘을 사용 했을 때에는 치근 흡수가 적으나, 강한 힘을 사용 했을 때에는 치아 뿌리가 짧아질 확률이 높습니다.
약력교정은 언제 적용 가능한가?
약력교정은 대부분의 경우에 적용이 가능한 치료 기법입니다.
대표적으로는 어린이교정에서도 적용이 가능하고 일반적인 성인의 삐뚤삐뚤한 치아에도 적용이 가능하며, 노인 교정에서 특히 큰 장점을 발휘하면서 적용이 가능합니다.
교정으로 인한 부작용에 가장 취약한 환자분들이 노인 이기 때문에, 노인 교정에서 약력 교정의 장점이 가장 잘 발휘되는 것입니다.
* 약력교정이 가능한 경우
1.소아 교정 (어린이 교정)
2.성인 교정 (삐뚤삐뚤한 치아, 벌어진 치아 교정)
3.노인 교정 (잇몸질환이 동반된 경우, 통증에 민감한 경우)
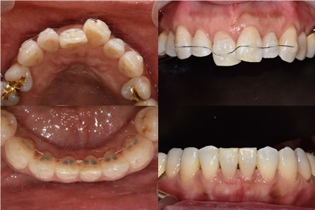
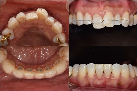
그림 4 부작용에 민감한 노인들의 경우, 약력교정이 가장 적합합니다.
약력 교정치료를 효과적으로 진행하기 위해서는 약력을 가할 수 있는 교정장치로 치료를 받는 것이 좋습니다. 가는 철사를 사용하여 가벼운 교정력을 가하면서 안전하게 교정치료를 진행할 수 있게 됩니다.
다음 호에서는 약력 교정 장치를 이용해서 교정치료를 진행한 치료 증례들을 알아보도록 하겠습니다.